盐城艾美莉整形美容医院 艾美莉万诺齿科“名医种植牙直播”完美收官
种牙疼不疼?
种植牙手术快不快?
种植牙好不好用?
种植牙能用多久?
……
相信很多缺牙患者 都有着这样那样的疑问
来艾美莉万诺齿科参加一场种植牙直播
你的疑问都会解决!
6月26日
亲眼见证“长”新牙,艾美莉万诺齿科种植牙直播
完美收官
患 者 简 介
本次种植牙直播手术的主人公是一位年轻的张先生,张先生缺牙的时间虽然不是很长,但缺牙带来的疼痛和不便却让他十分困扰,听说上海国际医学中心的种植专家 杨剑锋院长亲自进行种植牙直播,张先生慕名而来,经过多番咨询和初步检查,张先生决定做种植牙,并愿意把自己的种牙过程直播出来,让更多的人了解种植牙。
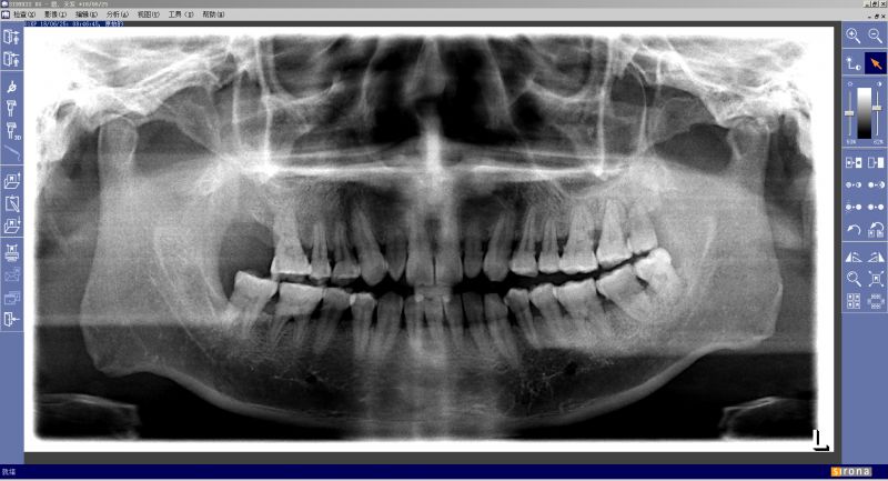
张先生的种牙前牙片(左侧的缺牙一颗)
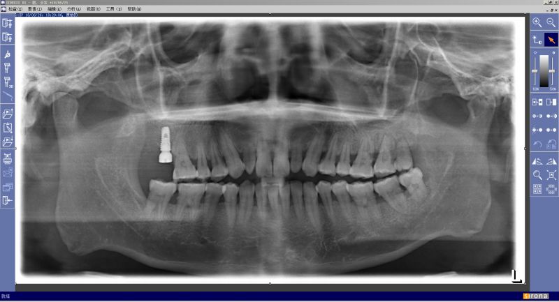
张先生的种牙后牙片(可以清晰的看到一颗种植体)
市民朋友亲眼见证成功种牙
   
下午14:20,种植牙直播开始了,现场的市民朋友通过实时直播设备,在大屏幕上亲眼观摩了术前手术消毒、备洞、植入种植体、缝合等完整的种植牙手术过程,亲眼见证缺牙重生。
活动现场市民朋友观看种植牙手术过程
此次种植牙直播手术由来自上海国际医学中心的种植专家 杨剑锋院长亲自操刀,他从事口腔修复临床及教学工作近三十年,成功开展种植修复数千例,帮助众多牙缺失患者摆脱了无牙痛苦。
即刻种植牙技术
没有牙齿,吃饭说话饱受困扰、种了牙也麻烦,要等大半年才有牙用”对于长期缺牙的市民朋友,能够马上有牙用,是非常期待的一件事。此次杨院长,带来全新种植牙技术:即刻种植。实现拔牙、种牙、戴牙一步到位,所有修复步骤当天完成,当天佩戴临时牙冠,恢复咀嚼功能,减少来院次数,省时省钱。彻底解决在种牙治疗期间无牙可用的苦恼。
种植牙术后分享感受
整个过程只用了短短20分钟。“好快!”见证新牙重生的市民都感慨,种植牙原来这么简单。令观看种牙直播的市民感到不可思议的是,即刻种牙术全过程几乎没看到什么出血,跟其他手术 “血淋淋”的景象完全不一样。手术结束后,手术患者下了手术台“秒现”直播现场,现身说手术感受。
张先生种牙后分享种牙过程
张先生来到现场喝了点水,还吃起了水果,现场观众惊呆了。不少人询问张先生种牙疼不疼?张先生表示:感觉就像休息了一会,一点不痛,我都没想到这么快就好了。
这次整个种植过程公开透明,观众纷都惊叹于杨剑锋院长精湛的种植技术,手术居然这么快就完成了,其间他没有任何不适感,而且术后还立即进食。
为缺牙市民解疑答惑
在场的缺牙市民只要有疑问,就能在第壹时间内得到解答。杨剑锋院长的专业而细心讲解,也得到了观众们的一致好评!
缺牙市民和杨院长互动
专家会诊并享受豪礼
分享结束后,又迎来了活动的另一个高潮 —— 现场领好礼,场面非常热闹。凡是在现场观众都领到了小推车、牙膏、牙杯、牙刷等实物,还享受了其他四重优惠。
直播活动结束后,现场的市民、尤其是缺牙者排起了长队请杨院长看牙。
市民登记参加活动
圆满结束
这次种植牙直播活动的圆满成功,不仅向大家全程透明公开解密缺牙如何“重生”,让大家细致完整地了解种植牙的全部过程,消除恐惧感。还向大家证明:艾美莉万诺齿科对自身医资和技术的自信,敢于零距离接受顾客的检验,亦经得起现场考验!
希望通过此次种植牙直播活动,能够消除大家对于种牙的顾虑,提高市民对缺牙的重视。同时,由于种植牙是一项非常精密的缺牙修复方式,所以对种植医生的种植经验和种植技术非常苛刻,大家在选择种植牙修复时一定要前往正规专业的口腔医院才更有保障。
