种植牙的全过程
种植牙是什么?
大多数的人不是很清楚
在这里小编就以图文的形式来展示种植牙的全过程
种植过程动态示意图:
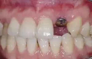
1、单颗牙缺失种植示例图片,少了一颗牙,那就种进去一颗,就这么简单。
2、多颗牙缺失种植示例图片,少了三颗牙需要种三颗吗,如果三颗正好位置相邻,负责的医生会建议你种两颗,上面搭配三个牙冠。这是蕞经济也是蕞健康的方案。
3、全口牙缺失种植示例图片,现在问题来了,如果整排牙齿都掉光了,要不要种14颗呢?一辆宝马车就送给牙医了。事实上不需要,只要种四颗或者五颗牙根,上面搭配相应数量的牙冠就可以,也就相当于一辆大众车。别怪医生收费高,要怪就怪自己把宝贝当粘豆包,不注意口腔卫生。
有些话,医务工作者每天要重复N遍,已经讲腻了;但还是有不少人不知道“常识”。比如白内障不需要再等待完全失明就可以手术了;比如种植牙真的不是种个种子下去就自己长出牙齿来。所以,每个医生都是伟大的科普教育工作者。今天回答两个关于种植牙的常见问题。
1第壹个问题是种植牙痛吗?
不痛,那是假的,痛?其实也没什么大感觉。这个痛感,小于吃饭不小心咬到舌头。
2第二个问题是种植牙要多久?
简单来说,人工种植牙的整体治疗程序大约需要3—6个月时间,分三个阶段。
(1)术前检查、制定种植治疗方案:对缺牙部位及整个口腔状况进行系统性检查,拍摄口腔X线片,并做相应处理。根据患者具体情况制定种植治疗方案。预约种植手术时间。
(2)种植手术阶段:在局部麻醉下,通过手术将人工牙根,即种植体植入牙槽骨内,通常植入一枚种植体的时间约为10-30分钟,术中不会有疼痛感,术后反应也较小。若缺牙部位骨量不足,需要植入一些人工骨粉材料进行补充。总体来说,种植手术是一种创伤较小的口腔门诊手术。种植手术后,无需住院,当天吃软食,24个小时内不能刷牙、漱口,通常口服消炎药3-5天。种上人工牙根之后需要2-6个月的时间使人工牙根与牙槽骨结合在一起,这段时间患者可以戴临时假牙。
(3)修复牙冠:种植术后2-6个月,待人工牙根与牙槽骨完全结合在一起以后,开始进行种植体的牙冠修复过程,这一过程大约需要一个月的时间。戴上牙冠完成蕞终修复后,需要每隔半年至一年复查一次,定期维护利于种植牙的长期使用。
种植牙是在牙槽骨内植入种植牙体(仿真牙根),然后在其上部安装基台及烤瓷牙冠或者全瓷牙冠。无论植入一颗或几颗牙齿,甚至上下腭的全部牙齿,植牙过程基本上都是一样的。
种植前准备、种植前顾客沟通、了解顾客的期待和愿望。
排除牙齿病理状态、感染。
对没有治疗及保存价值的牙齿,根据具体情况拟定拔除时间。
调改或制作临时修复体,使它具有恰当的垂直距离、牙弓形态及颌平面,能完成一定的功能和期望的美学要求。
种植牙种植流程
第壹:口腔检查
a、对顾客牙周进行常规检查及治疗,确定没保留价值的牙齿予以拔除,特别对相邻牙进行深度检查及治疗。
b、在种植牙前,医生会做一个种植前诊疗,包括:软组织成形术、牙槽成形术、牙槽骨增量、上颌窦提升等无法与种植体植入同期进行的手术。
第二:制作种植牙导板
一种非全牙缺失的种植牙手术导板的制作方法,分为CT数据采集,骨骼三维模型重建,病人骨骼条件设计种植方案,根据种植位置,设计确定种植窝的模拟圆柱等10几种方案。
第三:备制种植窝 (就像种树,先要打个洞)
按预先设计制作模板,根据牙槽骨的骨量选择适宜长度的种植体及相应的系列钻,制定种植窝。
第四:螺纹预备
用丝锥制备种植窝骨壁上的螺纹,使植入种植体与牙槽骨接触更密切,更稳固。
第五:植入种植体
将种植体缓缓植入已备好的种植窝内并小心地用特制工具加力旋紧,使种植体顶缘与骨面相平,牙骨髓更快速与种植体愈合。
第六:缝合创口
第七:上种植基台,带上牙冠
待种植钉与牙槽骨紧密愈合后,安装牙冠后就完成了整个种植牙手术的全过程。
以上就是种植牙的全部过程,但是种植牙看起来是个小的牙外科手术,但对于医生的整体技术及经验要求非常之高,不是每个牙医都有本事做种植牙,不是每个做种植牙的医生就会全部种植技术。
看完了这篇文章后,小编知道大家最关心的不光是种植牙怎么做,对于价格是否合理也是十分在意的!市面上种植牙的收费价格也各不相同,那么你所在的地区种植牙什么价格才是合理的呢?导致这个价格不同又因为什么呢?如果想要知道您所在地区最划算的项目价格,大家可以点击“在线咨询”,来询问我呦~
